Chirurgie buccale

Information médicale avant l’extraction de dents de sagesse


Pourquoi opérer ?

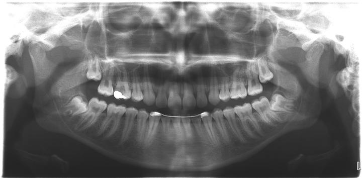
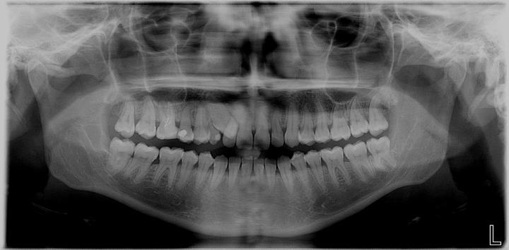
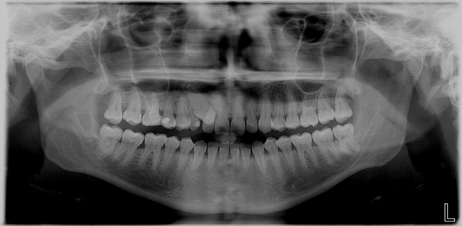
L’extraction des dents de sagesse consiste à enlever les troisièmes molaires du haut et/ou du bas. Chez l’enfant ou l’adolescent, ces dents n’ont pas terminé leur développement et sont appelés germes (l’intervention est appelée « germectomie »).
Ces dents doivent être extraites parce qu’elles sont en mauvaise position et sont à l’origine de douleurs et d’inflammation ou parce qu’elles risquent de perturber le bon alignement des dents chez l’enfant ou l’adolescent (l’indication est souvent portée par l’orthodontiste) .

 

 

 

Comment se déroule l'intervention ?

L’intervention se déroule sous anesthésie locale ou générale. L’extraction nécessite la réalisation d’un fraisage de l’os après ouverture de la gencive. Selon les cas, la fermeture se fait à l’aide de fils qui disparaissent en 2 à 4 semaines ou sont ôtés en consultation.
Le plus souvent, il est souhaitable de prévoir après l’intervention 2 à 3 jours d'arrêt de travail ou de dispense scolaire.

 

 

Les suites opératoires habituelles et les soins post-opératoires

  • le gonflement des joues (oedème) est fréquent et parfois important.
  • les saignements : Il est fréquent qu'un petit saignement persiste pendant quelques heures à une nuit suivant l'intervention. Le traitement consiste à appliquer une compresse sur la zone de l'extraction et mordre sur celle-ci tant que le saignement ne s'est pas arrêté.
  • une excellente hygiène buccale est essentielle. Les bains de bouche prescrits ne
    doivent être faits qu’après 24 heures et avec de l’eau froide. Après chaque repas, les dents et les gencives devront être nettoyées avec une brosse ultra-souple (dite chirurgicale).
  • la douleur au niveau des zones opérées est plus fréquente en bas qu’en haut. Elle cède
    souvent avec des antalgiques et disparaît en quelques jours. Des vessies de glace enrobées
    dans un linge (pas directement sur la peau) diminuent le gonflement et la douleur.
  • une limitation de l'ouverture buccale est fréquente pendant quelques jours.
  • pendant les premiers jours, l’alimentation doit être molle, tiède ou froide. Il faut éviter une
    nourriture chaude, très salée ou très acide.

L’alcool et le tabac sont à proscrire.

 

 

Les risques


Tout acte médical, même bien conduit, recèle un risque de complications. En cas de doute, il ne faut pas hésiter à nous contacter.

 

(Contactez le 15 en cas d’urgence grave)

 

Il peut s’agir de complications rares :
 

  • une alvéolite : inflammation de l’alvéole dentaire qui survient de quelques jours à 3 semaines après l’extraction. Elle peut entraîner des douleurs importantes et nécessiter des soins locaux.
  • une diminution ou une modification de la sensibilité de la lèvre inférieure ou plus rarement de la langue car les nerfs cheminent à proximité de la dent et peuvent être irrités. Ce trouble de la sensibilité est temporaire (quelques jours à quelques semaines), mais dans certains cas, la récupération peut être très longue (1 à 2 ans). Ce trouble est très exceptionnellement permanent.
  • une infection des tissus mous de la joue (cellulite) peut survenir quelques jours voire 2 à 3 semaines après l’extraction. Elle cède par un traitement antibiotique adapté.
  • une communication entre le sinus maxillaire et la bouche pour les dents supérieures, qui se ferme spontanément en 15 jours à 3 semaines. Une persistance au-delà justifie un traitement chirurgical adapté.
    Ou de complications exceptionnelles :
  • l’expulsion de la dent de sagesse supérieure en haut dans le sinus maxillaire ou en arrière de celui-ci est très rare mais peut justifier une nouvelle intervention chirurgicale pour la récupérer.
  • une fracture de l’angle de la mâchoire qui peut nécessiter de bloquer la mâchoire en position fermée pendant quelques semaines ou d’opérer en mettant des plaques et des vis.

 

 

Réf : Guide de la Société Française de Stomatologie et de Chirurgie Maxillo-Faciale. 
« Fiches d'information et utilisation images ». www.sfscmfco.fr